처음 혹을 발견한 것은 1월 초였다. 왼쪽 두 번째 발가락을 계속 핥길래 털을 들춰보니, 발가락 마디에 혹이 나 있었다. 이미 새빨갛게 부어올랐는데 혹이 나서 핥는 건지, 핥아서 혹이 생긴 건지를 알 수 없었다. 처음 발견했을 땐 혹이 크거나 상처가 심하지 않아 집 근처 동물병원에 내원해 진료를 받았다. 평소 솜이를 자주 보던 수의사 선생님의 소견으로는 산책을 자주 하는 강아지의 경우 나뭇가지나 이물질에 찔려 박히거나 상처가 나서 혹이 생길 수 있다고 하셨다. 혹을 자세히 살펴보니 다행히 가시나 기타 이물질이 보이지 않았고, 그날은 연고와 먹는 약을 처방받았다.

피부 전문 동물병원에서 비만세포종 의심
2주 정도 연고를 바르고, 약을 먹이며 지켜보았지만 혹은 줄어들지 않았다. 그래서 수원에서 피부 전문 동물병원으로 유명하다는 곳에 진료를 예약했다. 피부질환 치료로 가장 유명한 원장 선생님께 진료를 받으려면 한 달 뒤에나 가능하다고 했고, 솜이는 아토피와 같은 피부질환 때문에 진료를 받고자 하는 것이 아니었기 때문에 급한 대로 다른 선생님 진료를 예약했다. 설 연휴임에도 불구하고 예약 당일에 가보니 많은 강아지들이 내원해 있었다. 솜이의 혹을 보던 선생님은 외관상 혹이 종양처럼 보인다며, 양성인지 악성인지 확인해 보려면 FNA(가는바늘흡인세포검사)를 해봐야 한다고 했다. 바늘로 혹을 찔러 세포를 확인하는 생검이기 때문에 피가 조금 날 수 있다는 안내를 받았고, 솜이는 검사를 하러 들어갔다. 바늘로 찌르는 검사이기 때문에 당연히 아프겠지만 검사하는 동안 솜이가 질러대는 비명소리에 불안해졌다. 병원을 무서워해 떨기 바쁜 아이라 평소 어떤 치료나 검사를 해도 소리 한번 내지 않던 솜인데 얼마나 아픈 검사면 소리를 지를까 걱정이 되었다. 사전에 약간의 피가 날 수 있다는 안내를 받긴 했지만, 검사를 끝내고 나온 솜이의 발엔 피가 흥건히 묻어 있었다. 테크니션은 솜이를 나에게 건네주며 검사한 발가락을 알코올 솜으로 꾹 누르라하고 들어가 버렸다. 불안해하는 솜이를 달래며 검사 결과를 기다렸다.

FNA 검사 결과, 수의사는 세포 형태가 비만세포종, 즉 악성종양과 비슷해 보인다는 소견을 전했다. 일반적인 비만세포종 모양과 완벽하게 일치하진 않지만 어느 정도 의심해 볼 수 있다며, 확실한 검사를 위해선 조직검사를 해야 한단다. 게다가 비만세포종이라면 발가락을 절단해야 하며, 전이가 빠른 종양이기 때문에 발 또는 다리를 절단해야 할 수도 있다고 했다. 이 말을 들은 순간부터 정신이 아찔해졌다. 단순한 혹인줄 알고 갔는데 암일 수도 있다는 이야기를 들으니 당황스러웠고 걱정이 앞섰다. 수의사는 3일뒤 조직검사 겸 절제하는 수술을 진행하자고 했다. 하지만 발까지 절단해야 할 수 도 있다는 이야길 들은 마당에 이렇게 급하게 수술하는 게 맞는 것인지 고민이 되었다. 우선 수술 일정을 잡긴 했지만 주변 사람들에게 물어보거나 다른 병원에서도 검사해 보기 위해 당일 검사 결과를 다 보내달라고 요청했다.
집에 오는 길에 다른 반려인들에게 상황을 설명하고 조언을 구했다. 모두들 확실치 않으니 다른 병원에서도 검사해 보라는 의견을 주었고, VIP 동물의료센터 청담점의 반려동물 암센터를 소개받았다. 사실 솜이가 12살이 되면서 진료받을 항목이 많아지고, 치과병원도 옮기려 했던 터라 이전부터 VIP 동물의료센터를 고민하고 있었다. 지인이 VIP 동물의료센터의 경우 각 분야의 전문 수의사가 전 지점에 분포해 있고, 진료 차트가 모든 지점에서 공유된다는 점에서 추천한다고 했다. 그래서 이곳에서 다시 한번 검사해 보기로 결심하고, 예약센터에 바로 전화를 걸었다. 예약 상담사는 자세한 상황을 들은 뒤, 반려동물 암센터 담당자를 연결해 주었고 임윤지 수의사 진료가 가능한 가장 빠른 날짜로 검사 예약을 잡았다. 반려동물 암센터에서는 진료일 전까지 이전 병원에서 받은 검사 결과를 이메일로 전달해 달라고 했으며, 진료 당일 혈액검사와 비롯해 다양한 검사가 진행될 수 있으니 오전 금식 후 내원해 달라고 했다.
VIP 청담 반려동물 암센터에서 재검사
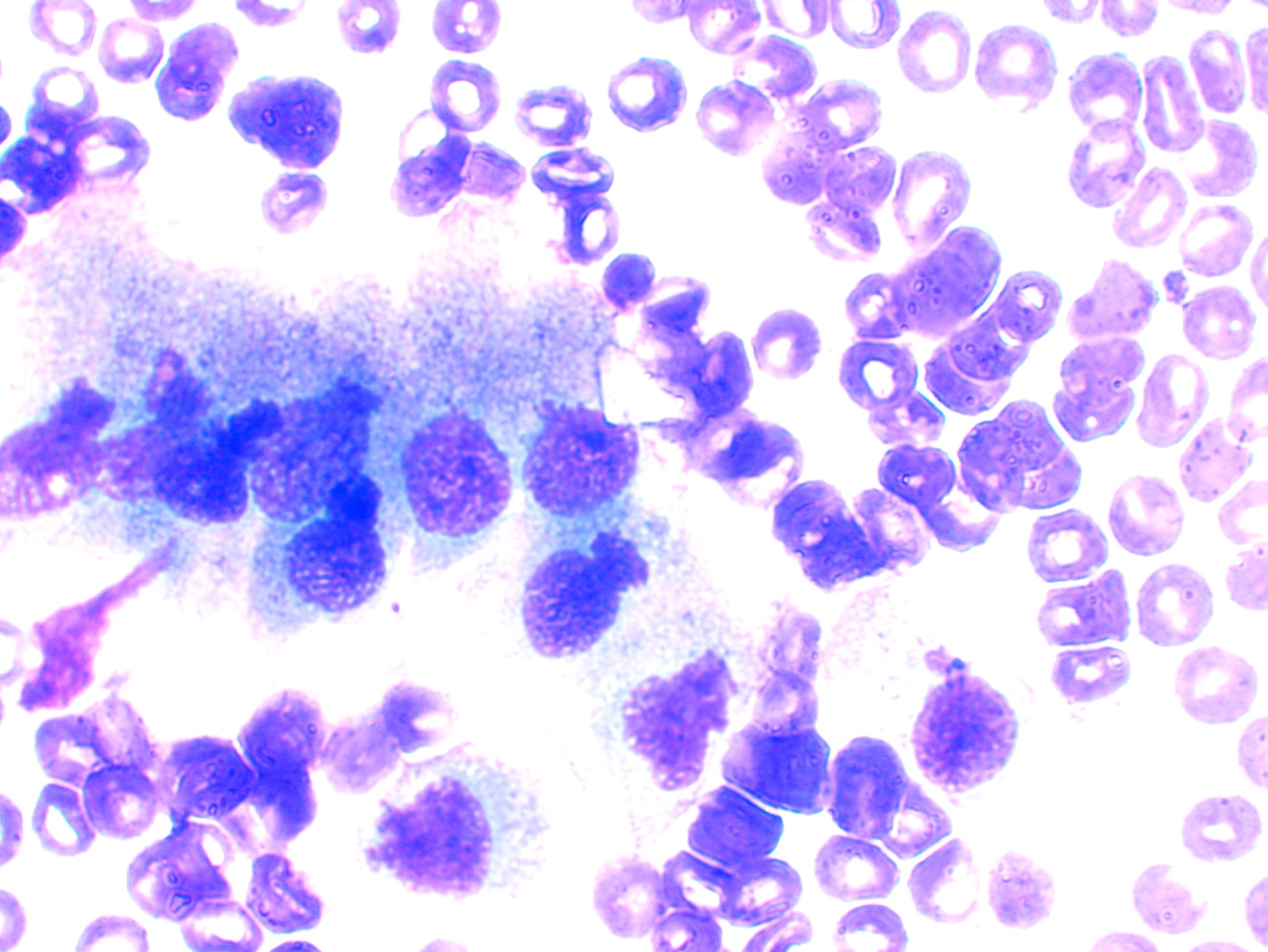
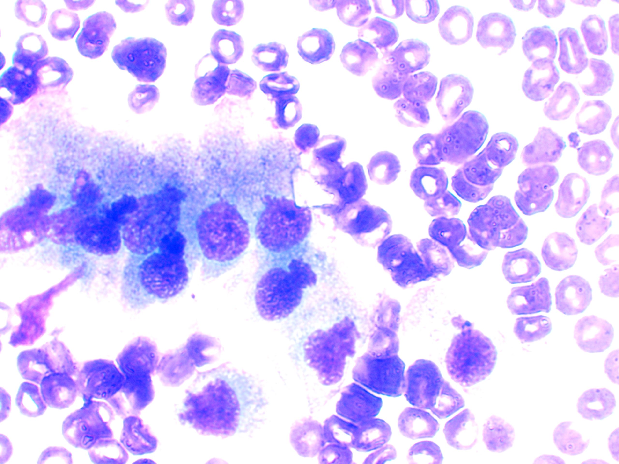
VIP 동물의료센터 청담점 접수는 3층에서 진행되었다. 몸무게를 비롯해 강아지에 대한 기본정보를 작성해 제출하고 기다리니 반려동물 암센터 테크니션이 예진표를 전달해 주었다. 종양을 의심하게 된 이유부터 식습관, 산책까지 굉장히 구체적으로 물어보는 문진표였다. 현재 반려동물 암센터는 임윤지 수의사 한 분만 계시는데, 그 옆에서 여러 명의 테크니션 분들이 솜이의 진료를 도와주셨다. 미리 작성한 문진표와 보내준 사진을 보며 진료가 시작되었고, FNA 검사를 다시 해보기로 했다. 다만 이 전과 달랐던 점은 피가 날 수 있기 때문에 응고계 검사, 혈전검사 등도 함께 진행되며, 약간의 진정제가 투여된다고 했다. 검사는 약 1시간 정도 진행되었고, 검사 결과는 솜이가 검사 후 나온 뒤에도 20-30분 정도 더 걸렸다. 검사 결과를 기다리는 동안 테크니션 선생님은 검사실에서 어떻게 검사를 진행했는지 그리고 해당 부위에 어떻게 처치했는지 등 자세한 설명을 해주셨다. 검사 결과가 나오고 FNA 세포 사진을 함께 보는데, 개인적으로 이전 병원에서 확인한 세포사진보다 더 자세하고 확대된 검사 결과였다. 다행히 악성이 아닌 양성종양으로 섬유종 혹이라는 진단을 받았다.






수의사 선생님은 솜이가 걸으면서 불편해한다면 수술로 제거할 순 있으나 핥는 것을 제외하곤 특별한 이상이 없으므로 추후 마취할 일이 생긴다면 그때 수술적 제거를 고려해 보자고 하셨다. 굳이 이 혹을 제거하기 위해 마취를 하는 게 오히려 솜이 몸에 무리를 줄 수 있기 때문이다. 수의사 선생님은 비만세포종(악성종양)일 경우 이 예쁜 발가락을 절단해야 할 상황이 생길까 걱정했다면서 다행이라고 하셨는데, 이 말에 얼마나 안심이 되었는지 모른다. 보호자인 나만큼 솜이를 같이 걱정해 주고 안심해 주시는 모습에 감사한 마음이 들었다. 진료실을 나서기 전까지 테크니션 선생님들이 솜이를 계속 예뻐해 주셨고, 수납을 하는 동안에도 밖으로 나와 검사부위에 뿌려 줄 소독약까지 꼼꼼히 챙겨주며 설명해주셨다. 11살 노견의 삶에 들어선 터라 하나만 아파도 신경 쓰이는 것들이 많은데 암일 수 있다는 이야기에 가슴이 철렁 내려앉았었다. 결론적으로 양성종양이라는 결과를 받았지만, 짧은 4일 동안 지옥과 천국을 모두 다녀온 기분이었다.
VIP 동물의료센터 청담점 & 반려동물 암센터
📍 서울 강남구 삼성로 133길 7 2층-4층
📞 진료 예약 및 전화 : 02-511-7522
⏰ (진료) 10:00 - 19:00
🚘 발레파킹 가능, 진료 시 2시간 무료 (3층 접수처에 발렛 영수증 제시)
댓글